ZAHNMEDIZIN
Die Gesundheit Ihrer Zähne ist unsere Maxime
ERHALT DURCH VORSORGE
Kontrolluntersuchungen
WIEDERHERSTELLUNG DURCH ZAHNERSATZ
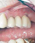
Wiederherstellende Therapie nach funktionellen und ästhetischen Gesichtspunkten
FÜR EIN GESUNDES LÄCHELN
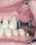
Implantologie
DURCH GESUNDHEIT ZUM ZIEL
Konservative und zahnerhaltende Therapie
MODERNSTE TECHNIK
Digitales Röntgen
FÜR FESTE ZÄHNE
Behandlung des erkrankten Zahnhalteapparats durch moderne, minimalinvasive Technik
Informieren Sie sich hier über unser zahnmedizinisches Behandlungsspektrum







